Dr. Jennifer Weiss comments on new colorectal cancer screening guidelines
Recently, the American Cancer Society (ACS) published a guideline that the age of first screening for colorectal cancer be lowered from 50 years to 45 years.
This contrasts with the current standard established by the U.S. Preventive Services Task Force and the U.S. Multi-Society Task Force on Colorectal Cancer, which recommends initiating screening at age 50 for people of average risk.
Should the ACS recommendation be adopted, an estimated additional 22 million Americans between the ages of 45 and 49 would be screened annually.
Jennifer Weiss, MD, assistant professor, Gastroenterology and Hepatology, discussed the topic in a news outlet for gastroenterology professionals, characterizing the prospect of lowering the age as having a mix of pros and cons.
"From the bad idea perspective, right now there is little evidence to support changing the average-risk screening age to 45 at the population level," she said, noting that the microsimulation model used to generate the recommendation included an assumption that colorectal cancer screening at the population level would have the same yield in among people aged 45-49 as people above age 50.
"I don’t know if we can really say that yet. So I do think we need to be careful about changing the guidelines based on the current evidence available. But I think it’s a good idea because it may spark future research on the benefits and risks of earlier screening," she said.
Resources:
- "Experts Mull New ACS Guidelines For Early-Onset CRC," Gastroenterology & Endoscopy News, July 13, 2018
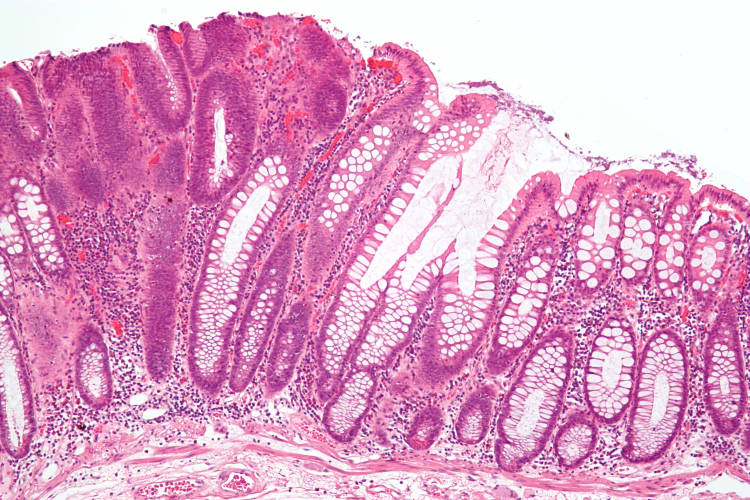
Photo (top): Intermediate micrograph of a H&E stain of colorectal tubular adenoma (a type of colonic polyp) without high-grade dysplasia. A precancerous tubular adenoma, at the left of image, is a precursor of colorectal cancer. Normal colorectal mucosa is seen on the right. Image CC BY-SA 3.0 courtesy of Michael Bonert.